WEB予約 LINE予約 電話予約 TOP
メインビジュアル メインビジュアル

「近くに通いやすくて、
信頼できる矯正歯科がない…」
とお悩みではありませんか?

お悩みまとめ

一人ひとりのご希望や
歯の状態に合わせて、
最適な治療プラン
をご提案します。

月々4,583~(84回払い)

※ローン会社の金利・手数料は
計算に含まれておりません

LINE無料相談はこちら
先生画像 先生画像 インビザライン画像

矯正を始める理由は、
きっと“安さ”では
ないはずです。

「自分に自信を持ちたい」
「きれいな歯並びで過ごしたい」
「人前でもっと自然に笑いたい」
そんな気持ちが、歯列矯正を考えるきっかけではありませんか?

でも実際には、

「ここは治療費が高いから、やめておこう…」
「症例数は少ないけど、安い方を選ぼうかな…」
「部分矯正だけで何とかならないかな…?」

そんなふうに、気づかないうちに「価格」だけで判断してしまって
いないでしょうか?
歯列矯正は、あなたのこれからの何十年の人生に関わる「大きなプ
ロジェクト」の一つです。歯列矯正の目的に立ち返り、本当に納得
できる治療を、信頼でき、続けやすい歯科医院を選んでください。

「納得と信頼ができ、続けやすいから、ここに決めた」

そう思っていただける医院であり続けることが、私たちの矯正治療のあり方です。
溝渕歯科・矯正歯科クリニックでは、高知を中心に四国全体の患者さまの理想を伺い、
生活スタイルをなるべく崩さないような配慮した仕組みを導入しております。

  • チェックアイコン 通院は約3ヶ月に1回の頻度でOK
  • チェックアイコン 治療中の確認や相談は、リモート診療で対応可能
  • チェックアイコン 担当するのは、年間81症例以上の経験を持つ矯正担当医
  • チェックアイコン 一人ひとりの歯並びに合わせた、無理のない治療プランを提案

「ここなら、納得できる」
「これなら、最後まで続けられそう」

そう思っていただける矯正治療を、私たちはご提供しています。

セクションセパレーター1
セクションセパレーター1 施術画像 施術画像 室内画像 室内画像

リモート診療に対応!
遠方からでも通いやすい!

「矯正治療は何度も通院が必要」
そう思って、近くの歯科医院を
探していませんか?

実は、当院のマウスピース矯正
(インビザライン)なら
「リモート診療」に対応しており、
通院頻度はおよそ3ヶ月に1回程度。
ご自宅からのオンライン経過観察や
相談が可能です。

そのため、「近くに信頼できる
矯正歯科がない」とお悩みの方も、
通院の負担を最小限に抑えながら、
確かな矯正治療を受けることが
できます。

四国各地から

患者さまが通院されています

四国画像

当院には、高知県内にとどまらず、
香川・愛媛・徳島など、四国各地から
多くの患者さまが通院
されています。

「専門性の高い矯正治療を受けたい」
「信頼できる先生に診てもらいたい」

という理由で、遠方からでもリモート診療を活用しながら
通っていただいています。

背景画像 背景画像 背景画像 背景画像

GREETING
矯正担当医のご紹介

溝渕 隆宏 院長 溝渕 隆宏

矯正は“どこで”より “誰が”診るかが大切です

歯列矯正は、治療の成果があなたの未来の表情や健康に直結する大切な治療です。
だからこそ、「どの医院か」より「どの医師が担当するか」が、最も重要だと私たちは考えています。

当院では、年間81症例以上の歯科医師が、初回カウンセリングから治療完了まで責任を持って担当いたします。
治療を行う中で、一人ひとりの患者さまに最適な治療を提案してきました。

患者さまの「理想の笑顔」を形にするため、安心できる関係性と納得のいく説明を大切にしています。どんな小さなことでも、気軽にご相談ください。

所属

  • 日本顎咬合学会 近畿・中国・四国地方支部理事
  • 日本臨床歯科学会(SJCD)
  • 日本顕微鏡歯科医学会
  • 日本口腔インプラント学会
  • ITI(Inernational Team for Implantology)
  • 日本アライナー矯正歯科研究会
  • 即時荷重研究会
  • VL会
  • N.H.K
  • CiAO(Creative and innovative Aligner Orthodontics)
  • SCRS

経歴

1996年にっしん幼稚舎 卒園 2002年高知市立新堀小学校(現はりまや橋小学校)卒業 2008年愛媛県私立愛光高校 卒業 2015年東京医科歯科大学 卒業 2017年高知大学医学部歯科口腔外科学講座 研修終了 2017年はりまや橋溝渕歯科・矯正歯科クリニック 継承

資格

噛み合わせ認定医
インビザライン認定医

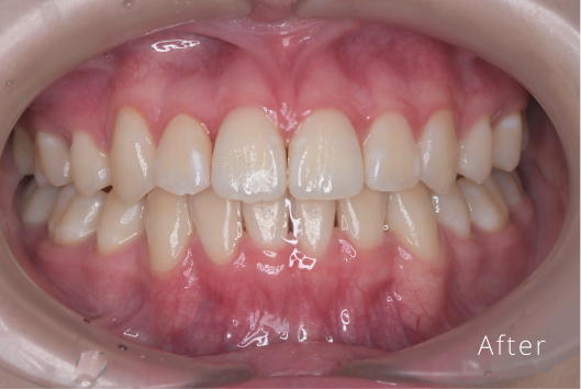
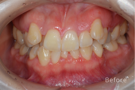
症例

症例画像Before 症例画像After
症例画像After

費用 1,034,000 (税込)

治療内容

20代女性、中等度の叢生、上下の正中のズレが認められました。
マウスピースで治療ができるのか心配されていましたが、前歯が前方に出ないように下顎臼歯部にアンカースクリューを埋入し、上下の歯列を遠心移動して非抜歯で歯を配列し、見た目と嚙み合わせを整えました。
治療期間は約20か月です。

リスク・副作用

矯正治療には、歯の移動に伴う痛みや違和感、治療期間の延長、歯根吸収、むし歯、歯周病のリスク、後戻りなどの可能性があります。
治療効果や期間には個人差があり、同様の効果を保証するものではありません。

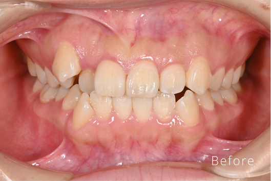
症例画像Before 症例画像After
症例画像After

費用 1,012,000 (税込)

治療内容

20代女性、重度の叢生、上下の正中のズレが認められました。
診断から得られた審美的な前歯の位置を基準に、上下左右の第一小臼歯を抜歯して、見た目と噛み合わせを整えました。
治療期間は約18か月です。

リスク・副作用

矯正治療には、歯の移動に伴う痛みや違和感、治療期間の延長、歯根吸収、むし歯、歯周病のリスク、後戻りなどの可能性があります。
治療効果や期間には個人差があり、同様の効果を保証するものではありません。

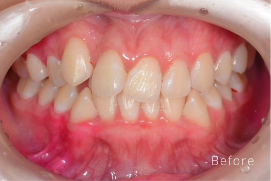
症例画像Before 症例画像After
症例画像After

費用 1,030,000 (税込)

治療内容

10代女性、重度の叢生と上顎正中の大きなズレが認められました。
口蓋側に転位していた右上側切歯を本来の歯列へ取り込むため、上下左右の第一小臼歯を抜歯。インビザラインを用いて、審美性と機能的な噛み合わせを整えました。
治療期間は約18か月です。

リスク・副作用

矯正治療には、歯の移動に伴う痛みや違和感、治療期間の延長、歯根吸収、むし歯、歯周病のリスク、後戻りなどの可能性があります。
治療効果や期間には個人差があり、同様の効果を保証するものではありません。

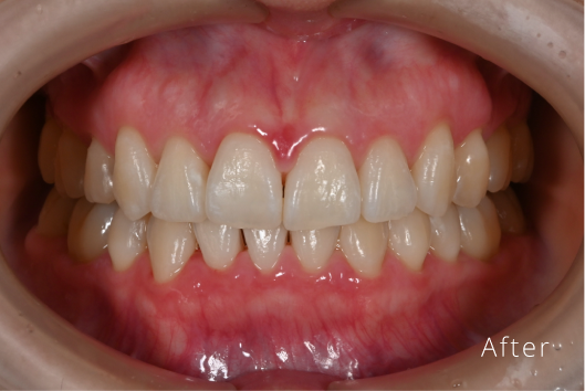
症例画像Before 症例画像After
症例画像After

費用 500,000 (税込)

治療内容

16歳女性、正中の約1.8mmの空隙と、前歯部の複数箇所にすきっ歯が認められました。
将来的な全顎矯正の可能性を残しつつ、現在の噛み合わせを維持しながら前歯の審美改善を優先。インビザラインによる非抜歯矯正で、気になる隙間をきれいに整えました。
治療期間は約3か月です。

リスク・副作用

矯正治療には、歯の移動に伴う痛みや違和感、治療期間の延長、歯根吸収、むし歯、歯周病のリスク、後戻りなどの可能性があります。
治療効果や期間には個人差があり、同様の効果を保証するものではありません。

背景画像

MEDICAL FEE
治療費

当院では、追加料金なし・トータル
フィー制度で治療をご提供
しております。
治療費の総額は、
「精密検査費用+矯正治療費用+保定装置代+クリーニング費用」
となります。

精密検査費用

¥33,000(税込)

プラスアイコン

エクスプレスパッケージ

¥330,000(税込)
(アライナー約7枚、追加アライナー1回)
治療期間の目安2〜4ヶ月

ライトパッケージ

¥440,000(税込)
(アライナー約14枚、追加アライナー1回)
治療期間目安3〜7ヶ月

モデレートパッケージ

¥660,000(税込)
(アライナー約26枚、追加アライナー2回)
治療期間目安6〜18ヶ月

コンプリヘンシブ
パッケージ

¥990,000(税込)
(アライナーの枚数規定なし)
治療期間目安18〜36ヶ月

インビザライン
ファースト (7〜9歳程度のお子様の1期治療)

¥550,000(税込)
(7〜9歳程度のお子様の1期治療)

インビザラインファースト
からの2期治療

¥330,000(税込)

プラスアイコン

保定装置代 リテーナー

¥22,000~¥33,000(税込)

プラスアイコン

クリーニング費用

¥2,000(税込)程度

当院では、下記の
お支払方法が可能です。

デンタルローン画像

デンタルローンでの
お支払い例

月々4,583円(税込)で
始められます

※ローン会社の金利・手数料は計算に含まれておりません。
※ローン会社は提携している3社からお選びいただけます。
※治療費385,000円のマウスピース矯正を84回の分割払いでお支払いいただく場合の例となります。

医療費控除について

マウスピース型矯正装置(インビザライン)による治療は医療費控除の対象となります。医療費控除とは、ご自身または生計を共にしているご家族の方が1年間に支払った医療費が10万円以上となる場合に、所得金額から一定の金額を控除できる制度です。ご不明点がありましたらお気軽にご相談ください。

CONTACT

「納得してから
矯正を始めたい」

そんなあなたに、最初の一歩を安心して
踏み出していただけるよう、無料
カウンセリングをご用意しています。
まずはお気軽に無料カウンセリングを
ご予約ください。


無料カウンセリングでできること

  • チェックマーク

    現在の歯並びの状態チェック(写真撮影 or スキャン)

  • チェックマーク

    その他ご不安・ご希望のヒアリング

  • チェックマーク

    あなたに合った治療法・治療期間のご提案

  • チェックマーク

    費用シミュレーションとお見積もりのご提示

  • チェックマーク

    矯正中の生活や通院頻度についてのご相談

当院へ歯並びのご相談に来られる方で、以下のようなお悩みよく伺います・・ 当院へ歯並びのご相談に来られる方で、以下のようなお悩みよく伺います・・

REASON 溝渕歯科・矯正歯科クリニック
のマウスピース矯正が
選ばれる
9つの理由

CONTACT

「納得してから
矯正を始めたい」

そんなあなたに、最初の一歩を安心して
踏み出していただけるよう、無料
カウンセリングをご用意しています。
まずはお気軽に無料カウンセリングを
ご予約ください。


無料カウンセリングでできること

  • チェックマーク

    現在の歯並びの状態チェック(写真撮影 or スキャン)

  • チェックマーク

    その他ご不安・ご希望のヒアリング

  • チェックマーク

    あなたに合った治療法・治療期間のご提案

  • チェックマーク

    費用シミュレーションとお見積もりのご提示

  • チェックマーク

    矯正中の生活や通院頻度についてのご相談

ABOUT INVISALIGN マウスピース型矯正装置
(インビザライン)について

インビザライン

インビザラインは、「アライナー」と呼ばれる透明なマウスピースを装着し、歯並びを少しずつ整えていく矯正装置です。装着時も目立ちにくく、取り外しが可能なため、見た目やライフスタイルへの影響を最小限に抑えることができます。

また、インビザラインシステムは世界100カ国以上で提供されており、これまでに2,000万件以上の治療実績を誇る、信頼性の高い矯正メソッドです。これまで蓄積された膨大な症例データと、AI(人工知能)技術を用いたシミュレーションにより、一人ひとりの歯並びに最適化された治療計画を作成することが可能です。

「矯正はしたいけれど、装置が目立つのは抵抗がある…」
「仕事や学校で矯正していることを知られたくない…」

そんな方にこそ、インビザラインは選ばれています。また、当院では、インビザライン・バーチャルケアというアプリを用いて、遠方からの診療も可能としております。

インビザラインのメリット MERIT

CONTACT

「納得してから
矯正を始めたい」

そんなあなたに、最初の一歩を安心して
踏み出していただけるよう、無料
カウンセリングをご用意しています。
まずはお気軽に無料カウンセリングを
ご予約ください。


無料カウンセリングでできること

  • チェックマーク

    現在の歯並びの状態チェック(写真撮影 or スキャン)

  • チェックマーク

    その他ご不安・ご希望のヒアリング

  • チェックマーク

    あなたに合った治療法・治療期間のご提案

  • チェックマーク

    費用シミュレーションとお見積もりのご提示

  • チェックマーク

    矯正中の生活や通院頻度についてのご相談

COMPARISON 矯正治療の比較

矯正治療には、マウスピース型矯正のほかにも、ワイヤー矯正や裏側矯正などさまざまな方法があります。
それぞれの特徴やメリット・デメリットを比較して、ご自身に合った治療方法を見つけましょう。

比較表 比較表

FLOW 矯正治療の流れ

01

初診・カウンセリング

まずはお気軽なご相談から。患者さまお一人おひとりに合った治療プランをご提案いたします。
パノラマレントゲンと口腔内スキャンを行います。

初診・カウンセリング画像
02

精密検査

顔貌写真、口腔内写真、動画、CT、セファロレントゲンを行います。当院では必ずCTを取り、形や骨の量を見た上で、治療計画を立てます。
歯茎の形や歯の形を整えることもでき、理想を高く設定することも可能です。

精密検査画像
03

資料発送、
3Dシミュレーションの作成

スキャンしたデータを基に、担当歯科医師が治療計画を作成いたします。

資料発送、3Dシミュレーションの作成画像
04

シミュレーションの
ご説明

患者さまにご来院いただき、担当歯科医師とシミュレーションの確認を行っていただきます。

シミュレーションのご説明画像
05

インビザラインの
発注~到着

治療計画に同意していただけましたら、インビザラインのマウスピースを海外の工場に発注します。 発注から到着まで、2~4週間程度お待ちいただきます。

インビザラインの発注~到着画像
06

装着指導を行い、治療をスタート

歯の表面にアタッチメントと呼ばれる小さなポッチを付け、初めてのインビザライン装着を行います。
ご自身で着脱ができるよう、マウスピースの取り扱い方法を指導します。
始めは慣れるまで不安になることもあると思いますが、気になることがあればお気軽にご相談ください。

装着指導を行い、治療をスタート画像
07

おおよそ3ヶ月に1回の来院、
メンテナンス

定期的にご来院いただき、歯の動きの進捗を確認します。
虫歯や歯周病の発生がないかどうかもチェックし、健康な歯を保ちながら矯正を進めるためのメンテナンスを行います。

おおよそ3ヶ月に1回の来院、メンテナンス画像
08

治療完了

計画通りに最後まで矯正が進んだら、歯を動かす治療は終わりです。

治療完了画像
09

保定

最後に、歯が後戻りするのを防ぐために保定期間を設けます。
矯正終了直後は1日のうち長時間、保定用のリテーナーを着用しますが、徐々に1日の着用時間を減らしていきます。また、保定期間中にも定期的にご来院いただきます。

保定画像

CONTACT

「納得してから
矯正を始めたい」

そんなあなたに、最初の一歩を安心して
踏み出していただけるよう、無料
カウンセリングをご用意しています。
まずはお気軽に無料カウンセリングを
ご予約ください。


無料カウンセリングでできること

  • チェックマーク

    現在の歯並びの状態チェック(写真撮影 or スキャン)

  • チェックマーク

    その他ご不安・ご希望のヒアリング

  • チェックマーク

    あなたに合った治療法・治療期間のご提案

  • チェックマーク

    費用シミュレーションとお見積もりのご提示

  • チェックマーク

    矯正中の生活や通院頻度についてのご相談

スライドショー画像1 スライドショー画像1
スライドショー画像2 スライドショー画像2

はりまや橋溝渕歯科・矯正歯科クリニック

〒780-0822
高知市はりまや町1-5-1 デンテツターミナルビル8階

ピンアイコン Google Map
診察時間 診察時間

MEDICAL FEE
治療費

当院では、追加料金なし・トータル
フィー制度で治療をご提供
しております。
治療費の総額は、
「精密検査費用+矯正治療費用+保定装置代+クリーニング費用」
となります。

精密検査費用

¥33,000(税込)

プラスアイコン

エクスプレスパッケージ

¥330,000(税込)
(アライナー約7枚、追加アライナー1回)
治療期間の目安2〜4ヶ月

ライトパッケージ

¥440,000(税込)
(アライナー約14枚、追加アライナー1回)
治療期間目安3〜7ヶ月

モデレートパッケージ

¥660,000(税込)
(アライナー約26枚、追加アライナー2回)
治療期間目安6〜18ヶ月

コンプリヘンシブ
パッケージ

¥990,000(税込)
(アライナーの枚数規定なし)
治療期間目安18〜36ヶ月

インビザライン
ファースト (7〜9歳程度のお子様の1期治療)

¥550,000(税込)
(7〜9歳程度のお子様の1期治療)

インビザラインファースト
からの2期治療

¥330,000(税込)

プラスアイコン

保定装置代 リテーナー

¥22,000~¥33,000(税込)

プラスアイコン

クリーニング費用

¥2,000(税込)程度

当院では、下記の
お支払方法が可能です。

デンタルローン画像

デンタルローンでの
お支払い例

月々4,583円(税込)で
始められます

※ローン会社の金利・手数料は計算に含まれておりません。
※ローン会社は提携している3社からお選びいただけます。
※治療費385,000円のマウスピース矯正を84回の分割払いでお支払いいただく場合の例となります。

医療費控除について

マウスピース型矯正装置(インビザライン)による治療は医療費控除の対象となります。医療費控除とは、ご自身または生計を共にしているご家族の方が1年間に支払った医療費が10万円以上となる場合に、所得金額から一定の金額を控除できる制度です。ご不明点がありましたらお気軽にご相談ください。

CONTACT

「納得してから
矯正を始めたい」

そんなあなたに、最初の一歩を安心して
踏み出していただけるよう、無料
カウンセリングをご用意しています。
まずはお気軽に無料カウンセリングを
ご予約ください。


無料カウンセリングでできること

  • チェックマーク

    現在の歯並びの状態チェック(写真撮影 or スキャン)

  • チェックマーク

    その他ご不安・ご希望のヒアリング

  • チェックマーク

    あなたに合った治療法・治療期間のご提案

  • チェックマーク

    費用シミュレーションとお見積もりのご提示

  • チェックマーク

    矯正中の生活や通院頻度についてのご相談

Q&A よくある質問

Q マウスピース型矯正装置(インビザライン)の治療期間はどれくらいですか?

A 患者さまのお口の状態や歯並びの複雑さによって異なりますが、一般的には半年〜2年半程度が目安です。
当院では治療前に3Dシミュレーションを行い、目安の治療期間をわかりやすくご説明しております。まずはお気軽に無料相談にお越しください。

Q マウスピース型矯正装置(インビザライン)は1日どれくらい装着する必要がありますか?

A 1日20〜22時間以上の装着が必要です。 食事や歯磨きの時間以外は、就寝中も含めて常に装着していただくことで計画通りに歯が動きます。

Q むし歯があっても矯正治療はできますか?

A はい、可能ですが、原則として矯正開始前に治療を済ませます。 むし歯の大きさや位置によっては、矯正中の歯の動きに影響するため、先に歯科治療を行うのが一般的です。

Q 矯正治療中でもホワイトニングはできますか?

A はい、可能です。 インビザラインは取り外しができるため、ご自宅で行うホームホワイトニングなどを併用できる場合があります。ただし、歯の表面に付ける「アタッチメント」がある場合は、ムラの原因になるため終了後をおすすめすることもあります。

Q 費用を分割払いにすることはできますか?

A はい、可能です。 デンタルローンをご用意しております。詳細な回数や金利については、カウンセリング時にご相談ください。

未承認医薬品等に関する表記

当院では、医薬品医療機器等法(薬機法)において承認されていない医療機器を用いた治療である「インビザライン・システムを用いた矯正治療」を行っております。
※医療法に基づいて厚生労働省から出されている『医療広告ガイドラインに関するQ&A(2018年8月)』に従い、「限定解除の4要件」を満たすための記載を以下に掲載します。

・未承認医薬品等であること

マウスピース型矯正装置(インビザライン)は医薬品医療機器等法(薬機法)の承認を受けていない未承認医薬品です。

・入手経路

マウスピース型矯正装置(インビザライン)は、米国アライン・テクノロジー社の製品であり、インビザライン・ジャパン社を介して入手しています。

・国内の承認医薬品等の有無

国内にもマウスピース型矯正装置として医薬品医療機器等法(薬機法)の承認を受けているものは複数存在します。

・諸外国における安全性に係る情報

マウスピース型矯正装置(インビザライン)は、1998年にFDA(米国食品医薬品局)から医療機器として認証を受けていて、これまでに治療を受けた人数は世界で経験者2,000万人以上にのぼりますが、重大な副作用の報告はありません。

注意点・リスク・副作用

  • 治療の初期段階では痛みや不快感が生じやすくなりますが、1週間前後で慣れます。
  • 歯の動き方には個人差があるため、予想された治療期間より延長する場合があります。
  • 装置の使用状況や定期的な通院など、患者様の協力程度で治療の結果や期間に影響します。
  • 状況により当初予定した治療計画を変更する可能性があります。
  • 装置が外れた後に、保定装置を使用しないと後戻りが生じる可能性が高くなります。
  • 親知らずの影響や加齢などによって、凸凹が生じる可能性があります。
  • 矯正治療は一度始めると元の状態に戻すことは難しくなります。

CONTACT

「納得してから
矯正を始めたい」

そんなあなたに、最初の一歩を安心して
踏み出していただけるよう、無料
カウンセリングをご用意しています。
まずはお気軽に無料カウンセリングを
ご予約ください。


無料カウンセリングでできること

  • チェックマーク

    現在の歯並びの状態チェック(写真撮影 or スキャン)

  • チェックマーク

    その他ご不安・ご希望のヒアリング

  • チェックマーク

    あなたに合った治療法・治療期間のご提案

  • チェックマーク

    費用シミュレーションとお見積もりのご提示

  • チェックマーク

    矯正中の生活や通院頻度についてのご相談